- Япония первой в мире одобрила препарат из аллогенных индуцированных стволовых клеток для терапии болезни Паркинсона.
- Препарат представляет собой дофаминергические прогениторные нервные клетки для улучшения двигательных функций.
- Рагунепроцел предназначен для пациентов, не получивших адекватного ответа на фармакологическую терапию.
- Продукт одобрен условно и на ограниченный период времени, требуется постмаркетинговое клиническое исследование и наблюдение.
- Основанием для одобрения стали результаты открытых нерандомизированных испытаний фазы I/II.
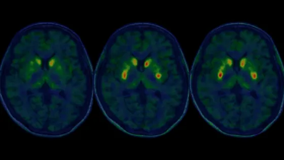
- В ходе испытаний семь пациентов с болезнью Паркинсона получили двустороннюю трансплантацию рагунепроцела.
- Серьезных побочных эффектов не было, не наблюдалось избыточного роста трансплантатов.
- У четырех из шести участников наблюдалось значительное улучшение счета OFF и ON шкалы MDS-UPDRS, у четырех - улучшение стадии заболевания по шкале Хён - Яра.
Япония первой в мире одобрила препарат из аллогенных индуцированных стволовых клеток
10 мар 2026
Краткий пересказ
от нейросети YandexGPT
Обложка: Изображение из статьи. Nobukatsu Sawamoto et al. / Nature, 2025