- У пациентки обнаружена патологическая мутация в гене PARN, кодирующем поли(А)-специфическую рибонуклеазу.
- Мутация привела к синдрому коротких теломер, который проявляется в виде панцитопении, остеопороза, фиброза печени и легких.
- Пациентка испытывала сильную слабость и утомляемость, а также имела нарушения в работе органов.
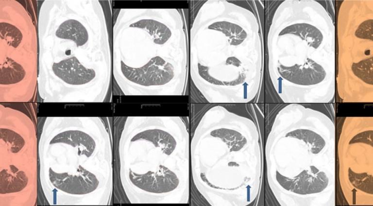
- Ультразвук и компьютерная томография выявили увеличение печени со стеатозом и циррозом, а также фиброзные изменения в легких.
- У пациентки также был диагностирован вторичный гиперпаратиреоз и остеопороз.
- Клиническое секвенирование экзома выявило моноаллельную миссенс-мутацию в гене PARN.
- Пациентке было назначено лечение витаминами и микроэлементами, а также кислородная терапия.
- После коррекции дефицита витаминов и микроэлементов симптомы пациентки улучшились, и она стала менее утомляемой.
