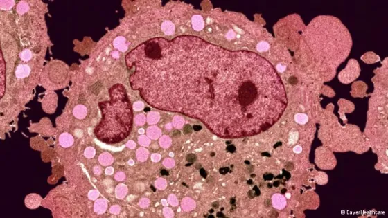
- Российские ученые разработали метод выявления агрессивных раковых клеток с помощью флуоресцентных наночастиц.
- Клетки-лидеры играют ключевую роль в формировании метастазов, прокладывая путь для мигрирующих опухолевых клеток.
- Клетки-лидеры обладают уникальной механо-биологической сигнатурой, которая делает их идеальной мишенью для точечной терапии.
- Метастатические клетки активно поглощают частицы из окружающей среды, что позволяет использовать наночастицы для их выявления.
- Цитоскелет клеток-лидеров устроен иначе, чем у других опухолевых клеток, что помогает им «раздвигать» окружающие ткани и мигрировать.
- Понимание структуры клеток-лидеров может помочь создать наночастицы для точечного уничтожения подобных клеток и предотвращения метастазов.
«Мы показали, что наночастицы действуют подобно меткам, которые подсвечивают именно те клетки, которые берут на себя роль «первопроходцев». Это прямое доказательство того, что в них миграционный и эндоцитарный аппараты работают согласованно и эффективно. Именно активные клетки-лидеры, ведущие за собой миграцию, способны поглощать намного больше наночастиц», - добавила исследователь Физтех-школы биологической и медицинской физики МФТИ Анастасия Александрова, чьи слова приводит Центр научной коммуникации вуза.